主页 > 主诊项目 > 美学修复 > 瓷贴面 >

3D超薄瓷贴面,轻轻一贴丑牙变美!

2018-04-13 15:20  来源:未知  责任编辑:admin  点击数:

导读

瓷贴面是修复牙齿表面问题比较有效的一种方式,既快速又实用又美观,是很多人在修复牙齿表面时很好的选择。瓷贴面在不磨牙或少磨牙的情况下,应用粘接材料将薄层瓷修复体固定于患牙唇……

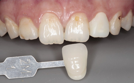
瓷贴面是修复牙齿表面问题比较有效的一种方式,既快速又实用又美观,是很多人在修复牙齿表面时很好的选择。瓷贴面在不磨牙或少磨牙的情况下,应用粘接材料将薄层瓷修复体固定于患牙唇、颊面,以恢复牙齿美观的一种修复方法。对于牙齿形态异常,牙面缺损等问题,都具有很好的修复效果。


瓷贴面相关问题【在线咨询】马上修复【在线预约】

瓷贴面可以修复的牙齿问题

1、色素牙:那些由于内在原因导致的色素牙,例如四环素牙,很难用美白手段解决问题,但是瓷贴面可以很好的解决这种情况;

2、牙齿缝隙过大:尤其是前牙缝隙过大,又不愿意进行矫正的情况,瓷贴面可以起到一个很好的遮挡的效果;

3、牙齿缺损:因为外力因素导致牙齿缺损,尤其是前牙,可以采取瓷贴面的方式将受损部分遮挡。


>>在线预约,可免费挂号免费检查!<<


       新桥3D超薄瓷贴面技术值得大家信赖:

3D超薄瓷贴面采用全新高科技生物材料,应用计算机辅助设计、数控设备加工,无需备牙,最薄可至0.2mm,硬度却达400Mpa,修复后的义齿美观大方,经久耐用,维护简便,只需在牙齿表面贴上薄薄的瓷贴片,就能摆脱四环素牙,氟斑牙,个小牙,牙列稀疏等丑牙困扰,轻松拥有持久靓牙。
 

3D超薄瓷贴面 技术优势

轻:无需备牙,患者无痛。

快:无麻醉,只需就诊两次,共两小时。

薄:最薄可至0.2mm,无异物感。

美:采用全新高科技生物材料,逼真自然,不变色。

牢:硬度达400Mpa,耐用持久,不会轻易的出现脱落。

【温馨提示】如果您对于瓷贴面还有什么疑问,或者有什么需要的话,您可以在线咨询或拨打热线028-68687878

上一篇:瓷贴面有哪些主要功能
下一篇:没有了