很多麻麻觉得糖对于宝宝是恶魔一般的存在,摄入过多不仅可能引起肥胖、糖尿病等问题,还会对牙齿造成不可逆的伤害。 于是粑粑麻麻下令:不准吃糖。水果糖,软糖,花生糖,酥糖……
很多麻麻觉得糖对于宝宝是恶魔一般的存在,摄入过多不仅可能引起肥胖、糖尿病等问题,还会对牙齿造成不可逆的伤害。
于是粑粑麻麻下令:不准吃糖。水果糖,软糖,花生糖,酥糖,巧克力糖通通不能吃。

然并卵,还是有辣么多孩子“莫名其妙”就蛀了牙。
爱找宝宝麻烦的龋齿是什么鬼?
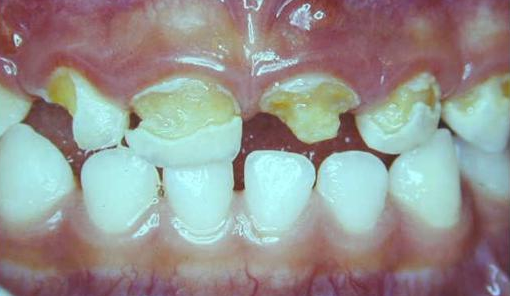
龋齿就是常说的蛀牙:牙齿质地变得松软或有斑点,继而形成一个洞,出现刺痛。继续发展下去侵入牙髓,引起自发性痛或夜间痛,病变继续发展可引起根尖周炎。

生活中我们常见的“奶瓶龋”,一般见于长期使用奶瓶的宝宝,特征是龋齿主要发生在上颌的门牙和第一乳磨牙,但下颌却很少看到龋齿。奶瓶龋多是因为不当的喂养习惯造成,可发酵醣类长时间滞留在牙齿周围所致,母乳、配方奶、果汁等都可能造成牙齿表面脱钙。
为啥孩子不吃糖还会长蛀牙?
在大多数家长的观念中,预防龋齿就是不给宝宝吃糖。的确,龋齿的发生与食物尤其是糖关系密切,但这并不是唯一原因。

长蛀牙不一定是因为吃糖,那还有什么?
没有及时清洁
不用说,粑粑麻麻都应该知道刷牙的重要性!从宝宝还没长牙起就可以开始漱口。清洁是防范一切口腔疾病的最有力手段。
尽管麻麻很用心宝宝很听话,几乎没有吃糖,但是不及时清洁牙齿一切都白费。(了解正确刷牙方法:请查看>>>你真的会刷牙吗?)
躲不掉的隐形糖
你以为不让宝宝吃水果糖,软糖,花生糖,酥糖,巧克力糖就万事大吉?太天真!

宝宝常吃的奶粉、蛋糕、饼干甚至水果里都含有不低的糖分,不知不觉中依然吃进了大量糖。
大人的亲吻
是的,亲吻也会造成宝宝龋齿。成人患了龋齿,又去亲吻宝宝小嘴,一不小心发生唾液交流,宝宝致龋的几率就会增加。

嚼碎了再喂
像亲吻一样,本身患有龋齿的家长的口水会引发健康宝宝发生龋齿的几率,唾液里的细菌也比宝宝多很多倍。
那些把饭菜嚼碎了喂给宝宝的婆婆奶奶麻麻们,请Stop!