不管大人小孩,牙疼是一项比较常见的牙齿问题,而蛀牙等牙齿问题常常会给人带来难以忍受的疼痛,严重影响着日常生活,因此很多牙疼患者都想去医院拔牙而后快。那么,成都拔牙多少钱呢?下面一起来看下。 一、能保留患牙根管治疗 蛀牙按照龋坏不同程度其治疗方法是不一样的,通常轻度蛀牙可以通过一般的补牙方式修复,这样的蛀牙还没有深入到牙髓腔内部,比较稳健
不管大人小孩,牙疼是一项比较常见的牙齿问题,而蛀牙等牙齿问题常常会给人带来难以忍受的疼痛,严重影响着日常生活,因此很多牙疼患者都想去医院拔牙而后快。那么,成都拔牙多少钱呢?下面一起来看下。
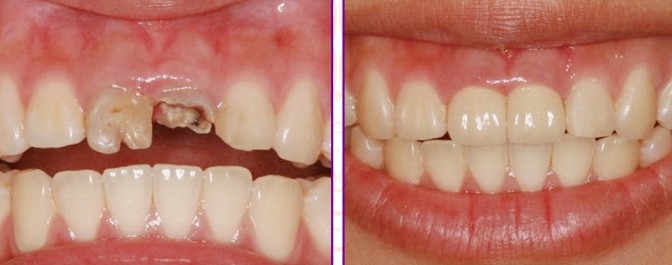
一、能保留患牙——根管治疗
蛀牙按照龋坏不同程度其治疗方法是不一样的,通常轻度蛀牙可以通过一般的补牙方式修复,这样的蛀牙还没有深入到牙髓腔内部,比较稳健;但如果蛀牙深入到了牙髓内部,此时必须通过做根管治疗后,再进行镶牙冠修复,这样做可以很好的保护患牙还不再疼痛。 >>>.做根管治疗多少钱?点击咨询
做根管治疗后戴冠选择——美学锆瓷冠
美学锆瓷冠采用数字修复和美学工艺,结合美学设计,成型后的修复体边缘、邻接、形态、咬合、颜色达到理想效果,实现再造自然牙形态。具有精确定位讲究美学效果、自然舒适、持久耐用等优势。

二、没有保留意义——拔牙
蛀牙发展更严重的就是牙齿已经没有治疗价值,已经到了无法直接医治的程度,此时必须采取拔牙治疗,这样的蛀牙拔牙后就也需要进行镶牙修复来恢复牙列的完整性。
那么,成都拔牙多少钱?
新桥口腔医生表示,拔牙价格并没有统一的数字,根据患者选择的拔牙方式、拔牙位置的不同,产生的费用是不一样的。
1、牙齿位置影响拔牙价格:每个患者需要拔牙的位置不同,然而拔牙根据牙齿所在位置的难易程度来决定价格,通常拔后牙价格要比拔前牙价格高些,其难度也要大很多。
2、选择的拔牙方式影响价格:随着口腔医疗术的不断发展,拔牙的方法也有很多种,目前常用的有普通拔牙、减少疼痛拔牙等,不同的人适合的拔牙方案不一样、拔牙方案难易程度不一样,价格也不一样。 >>>点击这里:详细说明你的牙齿情况,咨询具体价格?
拔牙——我选新桥无痛拔牙
随着口腔医疗科技的发展,很多的拔牙术应运而生,新桥口腔医院采用的无痛拔牙,具有创口小、出血少、痛苦轻、术后并发症少的优点,特别对复杂阻生智齿的拔除具有明显优势,大大减轻了患者的痛苦。

1、高效:数字三维成像,快速、详尽的定位患处,快速拔除病牙。
2、精确:数字三维CT全方位剖析牙周围的结构,不伤牙根和神经。
3、效果:小创口,出血少、有效防止术后并发症发生。
【温馨提醒】成都新桥口腔医院用心呵护您的口腔健康,如果您还有其它疑问,可以【在线咨询】或拨打咨询电话400-028-7878。